Tumor glômico no hálux com verruga vulgar associada, relato de caso
Abstract
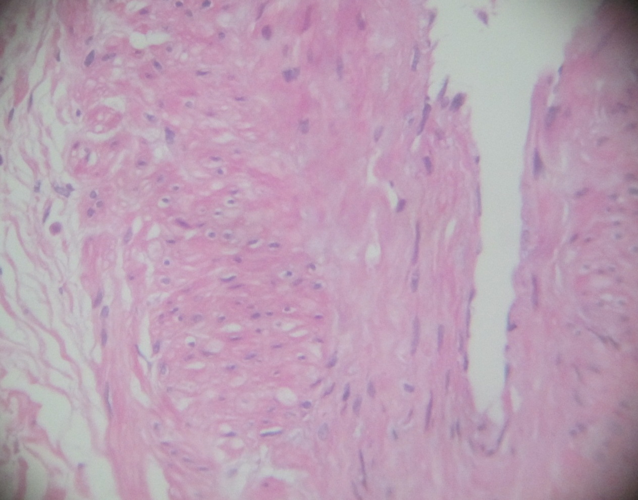
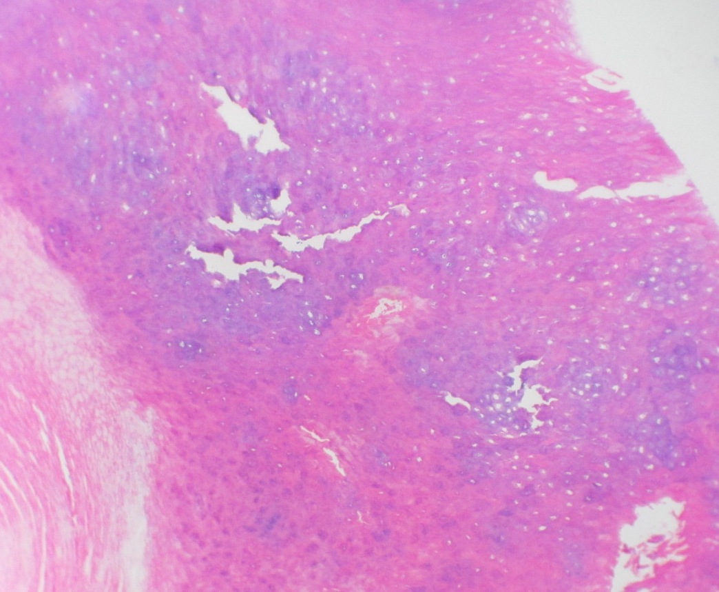
O tumor glômico é um tumor mesenquimal incomum originado do glomusneuromioarterial presente na derme reticular, localizado mais frequentemente nas mãos.
Relatamos um caso de mulher, 51 anos, com história de longa duração de alterações no aspecto da unha do hálux esquerdo e dor local intensa. Após diversos tratamentos, já com o diagnóstico de verruga subungueal, foi suspeitada a existência de tumor glômico pela história clínica e testes semiológicos sugestivos. Foi realizada cirurgia, com a confirmação histopatológica das duas hipóteses.
O possível diagnóstico é a soma de história clínica sugestiva, testes ambulatoriais e exames de imagem, contudo somente confirmado pela histopatologia.
O tratamento é cirúrgico, tratando a dor e evitando a recorrência. O presente caso relata associação de diagnósticos (tumor glômico e verruga subungueal) culminando com as importantes alterações no aspecto da unha.
Enfatiza-se neste trabalho a necessidade de avaliar a dor obscura de dígitos para tumor glômico.Downloads
All articles in this journal are Open Access under the Creative Commons Attribution-NonCommercial 4.0 International License (CC BY-NC 4.0).





