D-Penicillamine Induced Degenerative Dermopathy in a Patient with Wilson Disease
Abstract
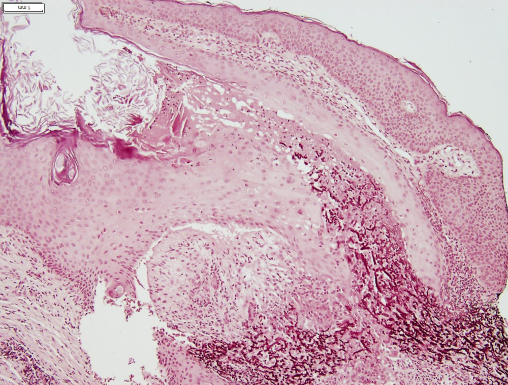
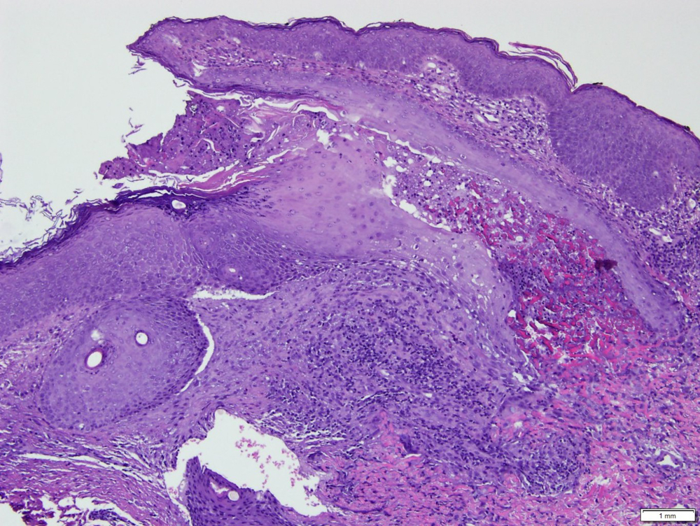
D-penicillamine induced degenerative dermatosis include, among others, elastosis perforans serpiginosa, and pseudo- -pseudoxanthoma elasticum. Elastosis perforans serpiginosa is a rare perforating disease characterized by transepidermal elimination of abnormal elastic fibers. This condition can be idiopathic, reactive or induced by D-penicillamine, commonly used for the treatment of Wilson disease, cystinuria, rheumatoid arthritis or systemic sclerosis. Cutaneous manifestations resembling pseudoxanthoma elasticum but lacking familiar history and ABCC6 mutations have been identified as a D-penicillamine induced dermopathy and called pseudo-pseudoxanthoma elasticum. The authors present a 17-year-old caucasian female treated for several years with D-penicillamine for Wilson disease who developed asymptomatic papules, some hyperkeratotic skin-colored and other soft and yellowish, on the cervical region and face. Histopathology showed transepidermal elimination of numerous, branched, sawtooth-like elastic fibers. These findings suggested a D-penicillamine induced dermopathy and the authors considered the diagnosis of both elastosis perforans serpiginosa and pseudo- -pseudoxanthoma elasticum in the same patient. The drug was switched to zinc acetate. No newer lesions appeared thereafter but previous lesions persisted at the 1 year follow-up.
Downloads
References
Ishak R, Abbas O. Penicillamine revisited: historic overview and review of the clinical uses and cutaneous adverse effects. Am J Clin Dermatol. 2013;14:223-33.
Lewis KG, Bercovitch L, Dill SW, Robinson-Bostom L. Acquired disorders of elastic tissue: part I. Increased elastic tissue and solar elastotic syndromes. J Am Acad Dermatol. 2004;51:1-21; quiz 2-4.
Vearrier D, Buka RL, Roberts B, Cunningham BB, Eichenfield LF, Friedlander SF. What is standard of care in the evaluation of elastosis perforans serpiginosa? A survey of pediatric dermatologists. Pediatr Dermatol. 2006;23:219-24.
Langeveld-Wildschut EG, Toonstra J, van Vloten WA, Beemer FA. Familial elastosis perforans serpiginosa. Arch Dermatol. 1993;129:205-7.
Patterson JW. The perforating disorders. J Am Acad Dermatol. 1984;10:561-81.
Castro Pinho A, Cardoso JC, Gouveia M, Oliveira H. Elastose Perfurante serpiginosa e doenca de wilson: uma consequencia rara, mas previsivel da terapeutica a longo prazo com D-penicilamina. Acta Med Port. 2016;29:227-30.
Hellriegel S, Bertsch HP, Emmert S, Schon MP, Haenssle HA. Elastosis perforans serpiginosa: a case of a penicillamine-induced degenerative dermatosis. JAMA Dermatol. 2014;150:785-7.
Rath N, Bhardwaj A, Kar HK, Sharma PK, Bharadwaj M, Bharija SC. Penicillamine induced pseudoxanthoma elasticum with elastosis perforans serpiginosa. Indian J Dermatol Venereol Leprol. 2005;71:182-5.
Ranucci G, Di Dato F, Leone F, Vajro P, Spagnuolo MI, Iorio R. Penicillamine-induced elastosis perforans serpiginosa in Wilson disease: is useful switching to zinc? J Pediatr Gastroenterol Nutr. 2017;64:e72-e73
Shiokawa Y, Horiuchi Y, Honma M, Kageyama T, Okada T, Azuma T. Clinical evaluation of D-penicillamine by multicentric double-blind comparative study in chronic rheumatoid arthritis. Arthritis Rheum. 1977;20:1464-72.
Bialy-Golan A, Brenner S. Penicillamine-induced bullous dermatoses. J Am Acad Dermatol. 1996;35:732-42.
Tovaru S, Parlatescu I, Dumitriu AS, Bucur A, Kaplan I. Oral complications associated with D-penicillamine treatment for Wilson disease: a clinicopathologic report. J Periodontol. 2010;81:1231-6.
Bolognia JL, Braverman I. Pseudoxanthoma-elasticum-like skin changes induced by penicillamine. Dermatology. 1992;184:12-8.
Bennett JA, Clarke JT, Ioffreda MD. Annular keratotic papules on the extremities. J Am Acad Dermatol. 2015;73:891-3.
Becuwe C, Dalle S, Ronger-Savle S, Skowron F, Balme B, Kanitakis J, et al. Elastosis perforans serpiginosa associated with pseudo-pseudoxanthoma elasticum during treatment of Wilson's disease with penicillamine. Dermatology. 2005;210:60-3.
Meyrick Thomas RH, Kirby JD. Elastosis perforans serpiginosa and pseudoxanthoma elasticum-like skin change due to D-penicillamine. Clin Exp Dermatol. 1985;10:386-91.
Bergman R, Friedman-Birnbaum R, Ludatscher R, Lichtig C. An ultrastructural study of the reactive type of elastosis perforans serpiginosa. Arch Dermatol. 1987;123:1127-9.
Bardach H, Gebhart W, Niebauer G. "Lumpy-bumpy" elastic fibers in the skin and lungs of a patient with a penicillamine-induced elastosis perforans serpiginosa. J Cutan Pathol. 1979;6:243-52.
Deguti MM, Mucenic M, Cancado EL, Tietge UJ. Elastosis perforans serpiginosa secondary to D-penicillamine treatment in a Wilson's disease patient. Am J Gastroenterol. 2002;97:2153-4.
Wang D, Liang J, Xu J, Chen L. Effective treatment of d-penicillamine induced elastosis perforans serpiginosa with ALA-PDT. Photodiagnosis Photodyn Ther. 2015;12:140-2.
All articles in this journal are Open Access under the Creative Commons Attribution-NonCommercial 4.0 International License (CC BY-NC 4.0).





